The brains "reality fold"


Recommended Posts

http://www.cam.ac.uk...ack-of-reality/

Keeping track of reality

A new study of the brain explains why some of us are better than others at remembering what really happened.

A structural variation in a part of the brain may explain why some people are better than others at distinguishing real events from those they might have imagined or been told about, researchers have found.

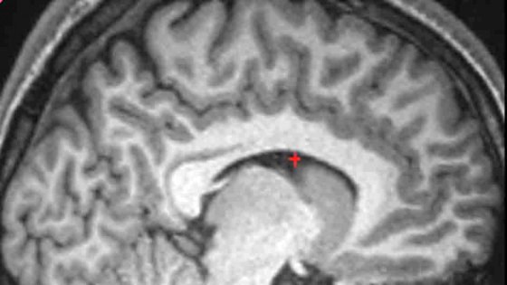
The University of Cambridge scientists found that normal variation in a fold at the front of the brain called the paracingulate sulcus (or PCS) might explain why some people are better than others at accurately remembering details of previous events -such as whether they or another person said something, or whether the event was imagined or actually occurred. The research was published today, 05 October, in the Journal of Neuroscience.

This brain variation, which is present in roughly half of the normal population, is one of the last structural folds to develop before birth and for this reason varies greatly in size between individuals in the healthy population. The researchers discovered that adults whose MRI scans indicated an absence of the PCS were significantly less accurate on memory tasks than people with a prominent PCS on at least one side of the brain. Interestingly, all participants believed that they had a good memory despite one group’s memories being clearly less reliable.

Dr Jon Simons from the University of Cambridge’s Department of Experimental Psychology and Behavioural and Clinical Neuroscience Institute, who led the research, said: “As all those who took part were healthy adult volunteers with typical educational backgrounds and no reported history of cognitive difficulties, the memory differences we observed were quite striking. It is exciting to think that these individual differences in ability might have a basis in a simple brain folding variation.

“Additionally, this finding might tell us something about schizophrenia, in which hallucinations are often reported whereby, for example, someone hears a voice when nobody’s there. Difficulty distinguishing real from imagined information might be an explanation for such hallucinations. For example, the person might imagine the voice but misattribute it as being real. PCS reductions have been reported in previous studies of schizophrenia, and our results are consistent with the idea that this structural variability might directly influence the functional capacity of surrounding brain areas and the cognitive abilities that they support.”

For the study, the researchers recruited 53 healthy volunteers based on their brain scans which showed either a clear presence or absence of the PCS in the left or right brain hemisphere. Participants were presented either with well-known word-pairs like “Laurel and Hardy” or with the first word of a word-pair and a question mark (“Laurel and ?”). In the latter condition, participants were instructed to imagine the second word of the word-pair. Then, either they or the experimenter was instructed to read the word-pair out aloud.

After a delay, a memory test was given where participants tried to remember whether they had seen or imagined the second word of each previously-encountered word-pair, or whether they or the experimenter had read the word-pair out aloud. Participants with absence of the PCS in both brain hemispheres scored significantly worse than the others at remembering both kinds of detail.

post-347280-0-06386100-1318108449.jpg

Link to comment
Share on other sites

This topic is now closed to further replies.
  • Recently Browsing   0 members

    • No registered users viewing this page.